Pork and ham are well known dishes for these special seasons. Be that as it may, in the event that you don’t cook them appropriately, you could wind up with many worms calling your stomach related…
Pork and ham are well known dishes for these special seasons. However, on the off chance that you don’t cook them appropriately, you could wind up with many worms calling your intestinal system home.

Picture
46-year-old Zhu Zhongfa ate half-cooked pork and unconsciously ingested the eggs of the perilous parasite Taenia solium. Therefore, his life was flipped around as he began encountering seizures and swooning episodes for quite a long time, in the end driving him to look for clinical treatment for his strange condition.
In spite of just a month passing since he consumed the half-cooked pork, specialists immediately recognized the reason for Zhongfa’s seizures and swooning episodes. His body was totally contaminated with tapeworms. These unwanted visitors had made themselves at home in his mind, lungs, and different pieces of his body. The worm hatchlings had spread all through his body by means of his circulation system.

Specialists are certain that the tapeworm invasion is straightforwardly connected with the half-cooked pork Zhongfa consumed that critical evening. Despite the fact that he didn’t appreciate it at that point, the seizures and swooning episodes kept him from going to work. His occupation in development expected him to work large equipment, and his condition made it unthinkable for him to do as such. The pork tapeworm pervasion had totally disturbed his life and caused him enormous torment.
In spite of encountering a long time of seizures, Zhongfa possibly looked for clinical assistance when his condition became unendurable. At the point when he was confessed to the medical clinic, he was frothing at the mouth and blacking out.

The hatchlings entered Zhongfa’s body through his stomach related framework and went through his circulation system to his cerebrum and lungs. These child worms wriggled into his body tissue and shaped pimples. On the off chance that these pimples rot, they can cause diseases. Individuals with this equivalent issue as Zhongfa frequently report cerebral pains, seizures, visual deficiency, and dementia. Notwithstanding, these side effects don’t necessarily in every case show up right away. Once in a while it can require a long time for the worm hatchlings to arrive at the cerebrum and lungs.
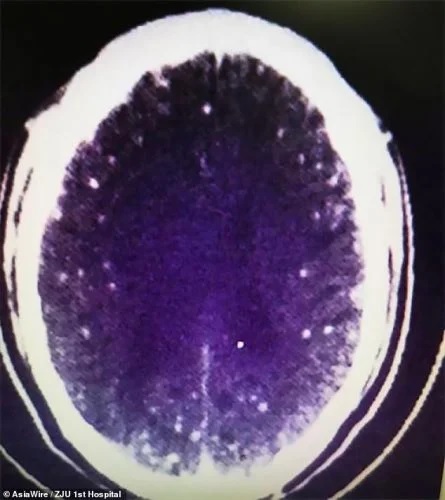
When these hatchlings structure pimples close to the mind or sensory system, it can bring about a perilous contamination called cysticercosis. On account of Zhongfa, the hatchlings had caused various space-possessing sores in his cerebrum, as well as pimples in his lungs and chest muscles.

Zhongfa conceded that he consumed a dish about a month prior that he didn’t accept was completely cooked. Because of his seizures and swooning spells, he at long last looked for clinical consideration.
Dr. Huang Jianrong from the Partnered Clinic of Zhenjiang College Institute of Medication was worried about Zhongfa’s condition. That is the reason he requested mind and chest X-rays for the patient.
“He had various sores in his cerebrum, yet he likewise had blisters in his lungs and chest muscles,” Dr. Huang said. “Various patients answer contrastingly to the contamination, contingent upon where the parasites are. For this situation, he encountered seizures and blacked out, however others with sores in their lungs could encounter a ton of hacking.”